Case Introduction 犬のレッグペルテス病(大腿骨頭壊死症)
犬のレッグペルテス病は、若齢の小型犬に見られる大腿骨頭や骨頚部が壊死してしまう病気です。
初期症状は後肢の軽度歩行異常がみられる程度ですが、そのまま放置すると壊死が進行し重度の跛行や強い痛みがでるため早期の発見・治療が必要です。
患者は新宿区在住(西東京市以外)1歳のトイプードルで右後肢の跛行を主訴に来院しました。
レントゲン検査でレッグペルテス病が疑われたため外科手術(大腿骨頭切除術)を行いました。
通常骨頭切除の手術は外側(お尻側)から行うことが一般的ですが、その場合、股関節の外側の筋肉や靭帯・関節包を切断するため術後の回復に時間がかかります。
当院では骨頭切除の手術を内側(内股)から行うことで、筋肉や靭帯・関節包という大切な組織をそのまま温存することにより外側からの手術法に比べて圧倒的に術後の改善が早くみられます。
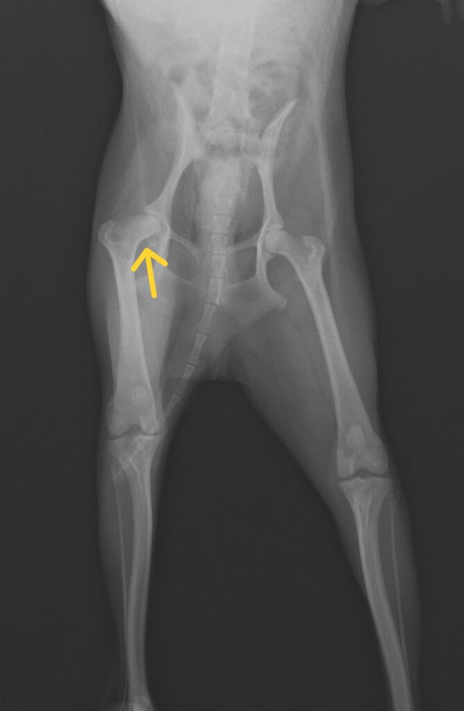
写真上 来院時レントゲン所見 矢印:変形した大腿骨頭
写真中央 大腿骨頭切除後レントゲン所見 矢印:骨頭切除部
写真下 手術所見(内側アプローチ) 矢印:露出した大腿骨頭部
