Case Introduction 猫の消化管腫瘍
消化管の腫瘍は食欲不振、嘔吐や下痢等の症状がみられることが多いです。
下痢や嘔吐が長く続く場合、消化管の腫瘍を疑う必要があります。
患者は西東京市在住17歳の雑種猫雌で食欲不振と嘔吐の主訴で来院しました。
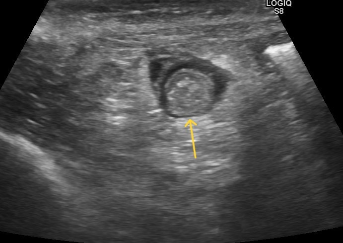
腹部触診で腹腔内に腫瘤が確認されたため超音波検査を行ったところ、腸に腫瘍性病変を認めました。
開腹手術にて腫瘍の摘出を行いました。(担当獣医師 小林)
写真上矢印 超音波検査で認められた腫瘍性病変
写真上矢印 開腹手術で認められた腸の腫瘍


消化管の腫瘍は食欲不振、嘔吐や下痢等の症状がみられることが多いです。
下痢や嘔吐が長く続く場合、消化管の腫瘍を疑う必要があります。
患者は西東京市在住17歳の雑種猫雌で食欲不振と嘔吐の主訴で来院しました。
腹部触診で腹腔内に腫瘤が確認されたため超音波検査を行ったところ、腸に腫瘍性病変を認めました。
開腹手術にて腫瘍の摘出を行いました。(担当獣医師 小林)
写真上矢印 超音波検査で認められた腫瘍性病変
写真上矢印 開腹手術で認められた腸の腫瘍

