Case Introduction 猫の胆石
猫の胆石は胆嚢内にある場合はほとんど無症状です。しかし結石が胆管に移動し胆管閉塞が起こると黄疸や肝障害などの重篤な症状が認められます。
雑種猫 12歳 武蔵野市在住(西東京市以外)数日前から嘔吐、食欲不振の主訴で来院。
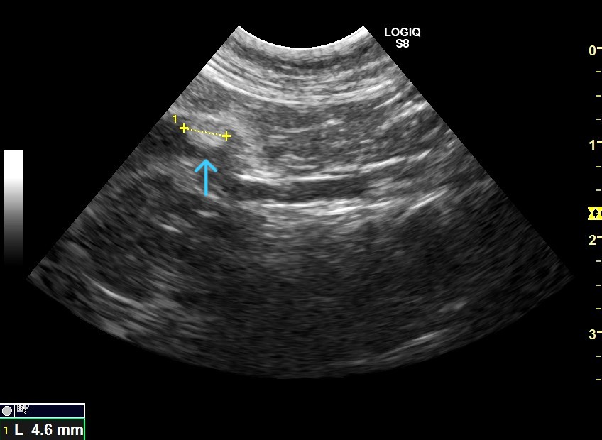
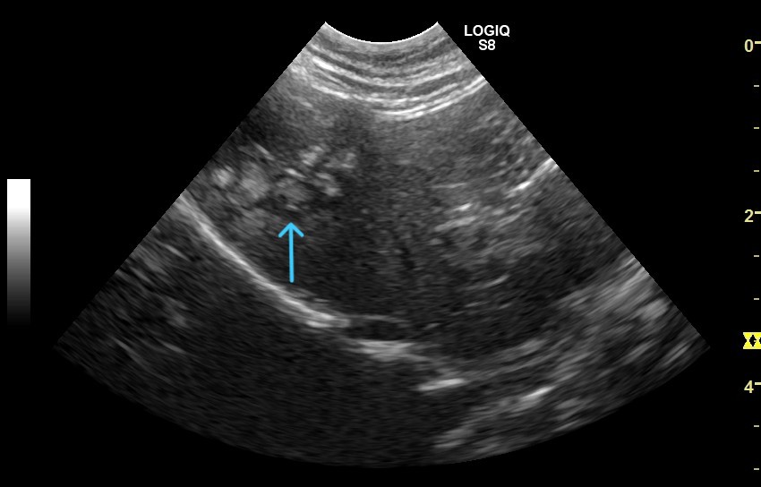
身体検査で重度の黄疸が認められたため血液検査と腹部超音波検査を行ったところ胆嚢内に多数の胆石が認められ、1つの胆石が十二指腸近くの胆管に詰まっていました。
開腹手術を行い胆嚢内の胆石と胆管に詰まっていた胆石を摘出しました。
術後は体調も回復し特に大きな問題は起こっていません。(担当獣医師 小林)
写真上矢印 胆嚢内に認められた多数の胆石
写真中矢印 胆管に詰まった胆石
写真中矢印 手術所見 拡張した総胆管
写真下 摘出した胆石


