Case Introduction 大型犬の脾臓腫瘍
脾臓腫瘍は初期症状があまり見られません。
腫瘍が大きくなり出血するとふらつきや虚脱などの症状が認められます。そこではじめて見つかることも多い病気です。
患者は新座市在住(西東京市以外)10歳のゴールデンレトリバー雌でワクチン接種に来院しました。
その際最近散歩にあまり行きたがらないとの主訴があり、お腹を触診したところ10cm大の腫瘤が触知された為、急遽超音波検査を行いました。
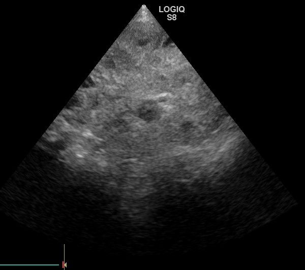
超音波検査で脾臓に大きな腫瘍が認められた為、当日に摘出手術を行いました。
超音波検査所見(写真上)脾臓に黒いボコボコした腫瘍が認められます。
手術時所見(写真下)脾臓全体に腫瘍が散見されます。

